Modern bütyök műtétek (hallux valgus) 2026-ban, ami megváltoztatja az életminőségedet

A mai sebészetben a bütyök műtétek fő célja nem csak a „csontkinövés levétele”, hanem a teljes láb biomechanikai tengelyének helyreállítása. A korszerű eljárások három fő csoportba sorolhatók:

bütyök műtét

Minimál invazív bütyökműtét (MIS / perkután Chevron-Akin)

  • minimál invazív (MIS / perkután)
  • klasszikus csontkorrekciós osteotomiák
  • stabilizáló (alapízületi) fúziós műtétek

perkután Chevron-Akin (PECA),

gyakran MICA-ként (Minimally Invasive Chevron Akin) emlegetett eljárás a bütyök (hallux valgus) korrekciójának egyik legmodernebb, harmadik generációs, minimálisan invazív sebészi technikája.

Lényege

A csontokat apró (3–5 mm-es) metszéseken keresztül vágják és igazítják vissza, röntgen (fluoroszkópia) vezérléssel.

Hogyan végzik?

  1. apró bőrmetszéseket ejtenek
  2. speciális forgó fűrésszel átvágják a csontot
  3. a lábközépcsontot elcsúsztatják a megfelelő tengelybe
  4. titán csavarokkal rögzítik
  5. szükség esetén a nagylábujj percét is korrigálják (Akin-osteotomia)
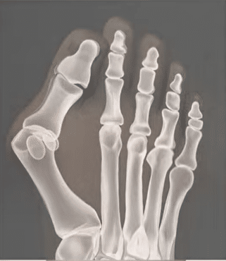
butyok mutet elott
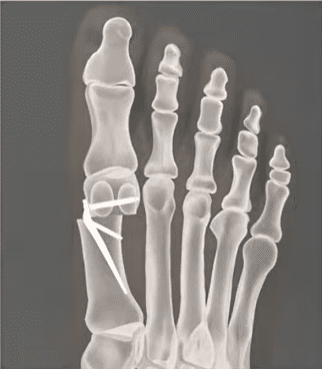
butyok mutet utan

Jellemzők

  • minimális heg
  • gyorsabb felépülés
  • kisebb lágyrész sérülés

Modern trend: egyre több országban ez a „first line surgical option” enyhe–közepes eseteknél


Chevron osteotomia (klasszikus elülső csontkorrekció)

Lényege

A lábközépcsont fejét V alakban (chevron) átvágják és oldalra csúsztatják.

Műtéti lépések

  1. kis metszés a nagylábujj belső oldalán
  2. V-alakú csontvágás a metatarsus fején
  3. csontdarab oldalirányú eltolása
  4. csavaros rögzítés
  5. lágyrész feszesség kiegyenlítése

Előnyei

  • jól kontrollálható korrekció
  • stabil rögzítés
  • enyhe–közepes deformitásnál standard

Hátrány

  • nagyobb metszés, mint a MIS- nél
  • hosszabb gyógyulás

Scarf osteotomia (hosszanti csontkorrekció)

Lényege

A csontot „Z” vagy „sál (scarf)” alakban vágják, így nagyobb mozgástartományban korrigálható.

Hogyan történik?

  1. hosszanti metszés a láb belső oldalán
  2. Z-alakú csontosteotomia
  3. csont oldalirányú eltolása
  4. csavarokkal rögzítés
  5. ízületi egyensúly beállítása

Előnye

  • erős stabilitás
  • nagyobb deformitás is korrigálható
  • tartós eredmény

Hátrány

  • technikailag összetettebb
  • nagyobb műtéti feltárás

Akin osteotomia (kiegészítő műtét)

Lényege

Nem a lábközépcsontot, hanem a nagylábujj ujjpercét korrigálják.

Lépések

  1. kis ék alakú csontdarab eltávolítása
  2. ujjperc tengelyének kiegyenesítése
  3. rögzítés kapcsokkal vagy csavarral

Mire használják?

  • ha a nagylábujj még mindig befelé áll a fő műtét után

Lapidus műtét (alapízületi fúzió)

Lényege

A láb „alapját” stabilizálják: az első lábközépcsont és az ékcsont közötti ízületet összecsontosítják (fuzionálják).

Műtét menete

  1. nagyobb feltárás a láb felső/belső részén
  2. ízületi felszínek eltávolítása
  3. csontok korrigált helyzetbe állítása
  4. lemezek + csavarok rögzítése
  5. összecsontosodás kivárása

Előnye

  • nagyon stabil hosszú távú eredmény
  • alacsony kiújulási arány

Hátrány

  • hosszabb felépülés
  • részleges ízületi mozgás elvesztése

Trend: súlyos vagy instabil eseteknél egyre gyakrabban választják


Exostectomia (csak „bütyök leborotválása”)

Lényege

Csak a kiemelkedő csontot távolítják el.

Fontos!

  • ma már ritkán önálló műtét
  • mert nem szünteti meg az okot

inkább esztétikai, átmeneti megoldás


ÖSSZEFOGLALÓ

A modern bütyök műtétek 2026-ban három fő irányt követnek:

  • MIS: gyors, minimál invazív
  • osteotomiák (Chevron, Scarf): klasszikus csontkorrekció
  • Lapidus: stabilizáló, súlyos esetekre

A trend egyértelmű:
egyre nagyobb hangsúly a minimál invazív és stabilizáló technikákon van


Bütyök műtét ára 2026-ban Magyarországon

Állami egészségügy (TB támogatott)

Ár: 0 Ft (TB finanszírozott)
vagy adminisztratív költségek: 10 000 – 50 000 Ft

Jellemzők:

  • hosszabb várólista (6–24 hónap)
  • standard műtéti technikák
  • kiválasztott kórházi feltételek

Akkor ideális, ha nincs sürgős panasz, de a várakozás elfogadható.


Magánklinikai bütyök műtét

Ár: 450 000 – 1 200 000 Ft

Mitől függ az ár?

  • műtéti technika
  • orvos tapasztalata
  • implantátumok (csavarok, lemezek)
  • kórházi tartózkodás hossza

Átlagos árak:

  • enyhe eset (MIS): 450 000 – 700 000 Ft
  • klasszikus osteotomia: 600 000 – 900 000 Ft
  • komplex műtét (Lapidus): 900 000 – 1 200 000 Ft

Külföldi magánellátás (egyre gyakoribb trend)

Ár: 1 000 000 – 2 500 000 Ft

Országok:

  • Ausztria
  • Németország
  • Svájc

Előnyök:

  • gyors időpont
  • modern MIS technikák
  • rövidebb várakozás

Bütyök műtétek árai típus szerint

Minimál invazív (MIS) műtét

500 000 – 900 000 Ft

👉 Modern, kis metszéses technika
👉 Gyorsabb felépülés
👉 Egyre népszerűbb 2026-ban


Chevron / Scarf osteotomia

600 000 – 1 000 000 Ft

Klasszikus csontátvágásos módszer
Stabil, hosszú távú eredmény


Lapidus műtét (súlyos esetek)

900 000 – 1 300 000 Ft

Súlyos deformitásnál alkalmazzák
Az ízület stabilizálása történik


Akin + kombinált műtétek

500 000 – 1 000 000 Ft

Kiegészítő korrekciós eljárás
Finomhangolja a lábujj tengelyét


Mi befolyásolja a bütyök műtét árát?

Műtéti technika

  • MIS = drágább, modernebb
  • klasszikus = olcsóbb, de invazívabb

Klinika és orvos

  • tapasztalat
  • felszereltség
  • magán vs állami

Implantátumok

  • csavarok
  • lemezek
  • speciális rögzítők

Utókezelés

  • kontrollvizsgálatok
  • rehabilitáció
  • gyógytorna

Rejtett költségek (amit sokan elfelejtenek)

  • röntgen: 10 000 – 30 000 Ft
  • kontroll: 15 000 – 40 000 Ft
  • talpbetét: 15 000 – 60 000 Ft
  • gyógytorna: 5 000 – 15 000 Ft / alkalom

Megéri a magánműtét?

Előnyök:

  • gyors időpont
  • modern technológia
  • kevesebb várakozás

Hátrányok:

  • magas költség
  • biztosítás nem mindig fedezi

Összegzés

A bütyök műtét ára 2026-ban Magyarországon széles skálán mozog:

  • TB: 0 Ft
  • magán: 450 000 – 1 200 000 Ft
  • külföld: akár 2 500 000 Ft
  • A pontos ár mindig a deformitás súlyosságától és a választott műtéti technikától függ.